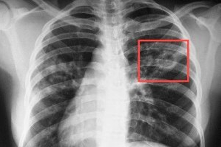
Туберкульоз – це інфекційне захворювання, яке виникає в результаті інфікування мікобактеріями туберкульозу (паличкою Коха). Зараження туберкульозом відбувається повітряно-крапельним, повітряно-пиловим, рідше харчовим, контактно-побутовим шляхами.
Найбільшу загрозу становлять хворі на туберкульоз легень, які виділяють мікобактерії туберкульозу. Один невиявлений хворий може заразити від 10 до 12 людей. Для дітей велику небезпеку становлять хворі родичі.
Щоб не захворіти на туберкульоз важливо вести здоровий спосіб життя, бути фізично активним, повноцінно і раціонально харчуватися, дотримуватися правил особистої гігієни, належних умов праці та відпочинку, в робочому колективі своєчасно проходити профілактичні огляди, уникати стресів та ін.
Найдієвішим методом профілактики туберкульозу у дітей є вакцинація вакциною БЦЖ. Первинна вакцинація здійснюється в пологовому будинку здоровим доношеним новонародженим дітям на 3-5 день життя.
Ревакцинація проводиться дітям віком 7 років, у яких негативна проба Манту.
Основні симптоми туберкульозу:
– кашель понад 2 тижні;
– зниження або відсутність апетиту;
– втрата ваги;
– підвищена пітливість, особливо вночі;
– загальна слабкість.
Своєчасне виявлення туберкульозу є вирішальним фактором для ефективного лікування та попередження поширення його серед людей. Чим раніше виявлено захворювання, тим більше шансів на повне одужання при умові ефективного лікування. В Україні використовуються загальноприйняті методи виявлення туберкульозу: туберкулінодіагностика (реакція Манту), флюорографічні обстеження, які необхідно проходити щорічно та лабораторні методи.
Туберкульоз виліковний – при умові раннього виявлення, ефективного лікування та дотримання рекомендацій лікаря. Отож, піклуйтесь про своє здоров’я, вчасно звертайтеся до лікаря і ніколи не займайтеся самолікуванням, адже туберкульоз одна із тих хвороб, які легше попередити, аніж потім тривалий час лікувати.
Л. В. Янківська, завідувач відділення організації епіддосліджень Дрогобицького міжміського відділу ДУ “Львівський обласний лабораторний центр МОЗ України”





ТОП коментованих за тиждень